top of page
Introduction
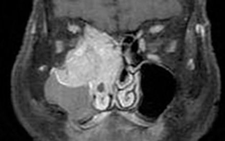
A tumour from the sinus that invades the orbit. Early detection is critical considering the conditions poor prognosis.

Dead Giveaways
Mainly imaging techniques at a sagittal plane which is capable of showing the sinuses.
diagnostic features
Maxillary Sinus:
Facial pain
Swelling
Nasal discharge
Nosebleed
Ocular signs include upward dystopia
Epiphora
Diplopia
Ethmoidal Carcinoma:
Leads to lateral dystopia
Nasopharyngeal Carcinoma:
Via orbital fissure, can lead to late proptosis
bottom of page